UroFuzija - Novo Kliničko Rešenje za Urologiju
- Jun 25, 2025
- 2 min read
Updated: Jul 14, 2025
Bolest prostate jedna je od najčešćih bolesti kod muškaraca širom sveta. Otprilike jedan od sedam muškaraca može razviti bolest prostate tokom svog života, a ovaj broj se povećava u zavisnosti od niza faktora, uglavnom starosti i porodične istorije.

Redovni pregledi prostate: Transperinealni ultrazvuk (TPUS) i Transrektalni ultrazvuk (TRUS).
U svakodnevnoj praksi, visok kvalitet slike i jednostavnost korišćenja naprednih funkcija (sa brzim i automatskim merenjima) prave razliku. Nova Esaote urološka rešenja poboljšavaju korisničko iskustvo i povećavaju samopouzdanje nudeći mogućnost izvođenja detaljnih pregleda prostate pomoću TRUS ili TPUS biopsijskih pristupa, zahvaljujući našim endokavitalnim ili bi-planarnim sondama. Svaka sonda je kompatibilna sa vodičima za biopsiju, bilo za višekratnu ili jednokratnu upotrebu.


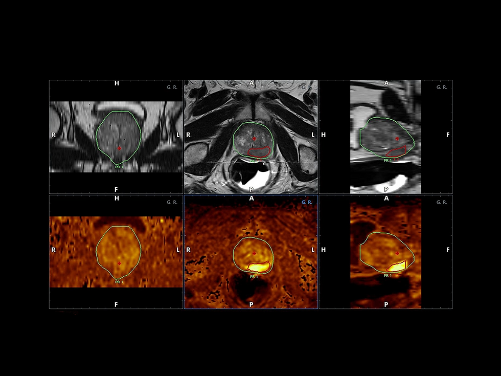
UroFuzija - Najpreciznije biopsije prostate kao rezultat spoja Magnetne rezonance i Ultrazvuka
Ciljane biopsije i fokalne terapije prostate (HIFU)
Iskusni radiolozi i početnici sada postižu jednako visok stepen preciznosti koristeći UroFuziju, Esaote-ovo najsavremenije rešenje za dijagnostičko snimanje koje maksimalno koristi kombinaciju Ultrazvuka i MR ili PET modaliteta.
Korišćenjem tehnologije Augmented Insight™ (A.I.), poboljšava se efikasnost radnog procesa automatizacijom MR konturisanja i segmentacije prostate sa trenutnom i automatskom UZ-MR sinhronizacijom, primenjenom i na transperinealne (TPUS) i transrektalne (TRUS) pristupe biopsiji prostate.
Korišćenje UroFuzije je veoma intuitivno, lekari će imati koristi od naših alata za ubrzavanje dijagnostike: automatsko konturisanje prostate i mapiranje uzorka biopsije su svakako najimpresivniji.

UroFuzija nudi mogućnost jednostavnog kombinovanja različitih mpMRI serija, olakšavajući identifikaciju sumnjivih lezija prostate.
Sistematski ciljani uzorci biopsije biće automatski sačuvani u 3D prikazu prostate, a detaljan i jasan izveštaj se automatski popunjava i prilaže svakoj proceduri.

*Ako želite detaljniji uvid u UroFuziju preuzmite naš vodič.
👉 Saznajte više o kliničkoj primeni u nastavku: UROFUZIJA II - KARAKTERIZACIJA LEZIJA.
Za demonstraciju Esaote uređaja najnovije generacije slobodno nas kontaktirajte. 👇




Koji uređaji podržavaju urofuziju? I da li su takvi uređaji dostupni u Srbiji?