1 platforma, 2 izgleda kontrolne table
21.5" BARCO LCD monitor visoke rezolucije (Opciono 24”)
13.3” LCD ekran osetljiv na dodir visoke definicije i osetljivosti
Podesiva tastatura koja se može izvući
Istovremeno se može povezati do 5 sondi
XCrystal napredne tehnologije sondi
LAN i USB priključci za prenos podataka, kao i priključci za druge periferne uređaje
Bežična veza
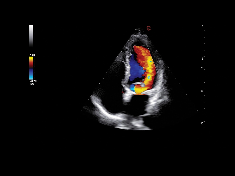
B-mode/M-Mode/CFM/Doppler/Power Doppler/microV
Auto Adjust funkcija za automatsku optimizaciju B-mod, Spektralnog Doplera i Color Doplera
B-Mode/CFM/Doppler nezavisno usmeravanje signala
TEI, Tissue Enhancement Imaging (HARMONIK)
CPI, Kombinovano pulsno snimanje za poboljšanu sliku čak i na većoj dubini
MView, Xview i Xview+, inovativni i adaptivni algoritam prilagodljiv za smanjenje šuma u realnom vremenu
HD Color Doppler (CFM) i Power Doppler (PDI) kao i Directional Power Doppler (DPDI) sa visokom osetljivošću i definicijom.
A.I. Bi-RADS i Ti-RADS – automatsko bodovanje lezija u dojkama i štitnoj žlezdi
PW Doppler, HPRF i CW Doppler
XFlow, MicroV i MicroV HFR za povećanje osetljivosti i rezolucije u snimanju protoka krvi
Triplex mod u realnom vremenu dostupan na svim sondama
Softver za izračunavanje i merenje (uključujući automatske funkcije) sa strukturiranim izveštajima za sve primene
TpView, Trapezoidni prikaz
VPan, Panoramski prikaz slike
eDoppler – Automatsko podešavanja doplera uz pomoć A.I.
Multiangle Compound Imaging (napredna tehnologija za poboljšanje rezolucije u B-modu)
eDetect – Automatsko opcrtavanje lezija
easyMode i easyColor, jedinstveni inteligentni algoritmi za easyMode/Color
Grejač za Gel
Linearne sonde do 25Mhz
BrightFlow – 3D kolor efekat
TVM – Tkivni dopler
QAI – Procena steatoze jetre

Instalacija Aparata

Tehnička Podrška

Garancija Kvaliteta

Obuka za Rad
VIDEO
Istražite tehnološki potencijal naših aparata
KLINIČKE SLIKE












SONDE
BROŠURA




















