Ultra-tanki ultrazvučni sistem
Sa svojim kompaktnim dizajnom i malom težinom, ultra-tanki aparat MyLab™X1 Go je Vaš pouzdan partner za dijagnostiku, gde god da je potrebno.
Ekran osetljiv na dodir i gestove rukom možete koristiti bilo gde sa potpunim poverenjem, jer je veoma izdržljiv i lak za održavanje, dok njegovo produženo vreme rada osigurava da ste uvek spremni, bez obzira gde Vas posao odvede.
MyLab™X1 Go je dizajniran da ide gde god da su Vaši pacijenti - od hitnih službi do udaljenih terenskih klinika. Njegov prilagodljiv interfejs od 8 inča - visoke rezolucije, pruža kristalno jasne slike sa opcijom prikaza dve slike, omogućavajući Vam da upoređujete snimke u realnom vremenu bez žrtvovanja preciznosti dijagnostike.
Dovoljno je izdržljiv da podnese padove, prašinu i surovost terena, a opet dovoljno elegantan da se neprimetno kreće između ambulantnih pregleda i pacijenta, ovo je aparat koji se prilagođava Vašem radnom procesu - a ne obrnuto.
Paket za opšte snimanje: uključen u standardnu konfiguraciju, omogućava B-mod sa TEI (harmonijsko snimanje), PW doplerom, CFM doplerom, Power doplerom.
Kardiološki paket: uključuje namenske predefinisane postavke, merenja i izveštavanja, CW dopler i M-mod.
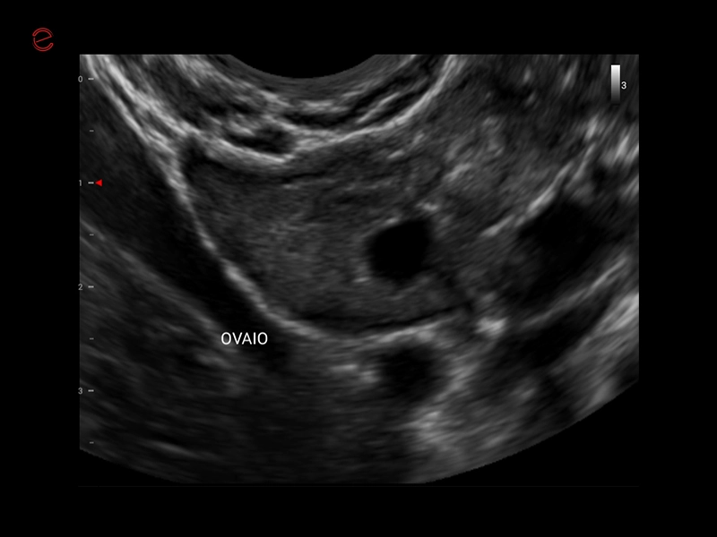
Paket za žensko zdravlje: aktivira predefinisane postavke za akušerstvo i ginekologiju, merenje i izveštavanje, M-mod.
DICOM paket: aktivira DICOM skladištenje, štampanje, MPPS i radnu listu.

Instalacija Aparata

Tehnička Podrška

Garancija Kvaliteta

Obuka za Rad
VIDEO
Istražite tehnološki potencijal naših aparata
KLINIČKE SLIKE












SONDE
BROŠURA















