Prenosiv ultrazvučni aparat Premium klasa
Integrisani LCD monitor Full HD rezerolucije
Ugrađeni LCD ekran osetljiv na dodir visoke definicije(HD)
eKnob, višestruki izbor sa jednim enkoderom
Frekventni opseg aparata i sondi do 22MHz
2 aktivna priključka za sonde sa mogućnošću simultanog povezivanja 2D/3D sondi.
Dodatna 3 konektora ako su instalirana na kolica
iQ napredne tehnologije i monokristalna tehnologija sa ergonomskim ekskluzivnim dizajnom sondi.
Intergisan CD/DVD rezač
Physo, LAN i USB portovi
Bežična konekcija
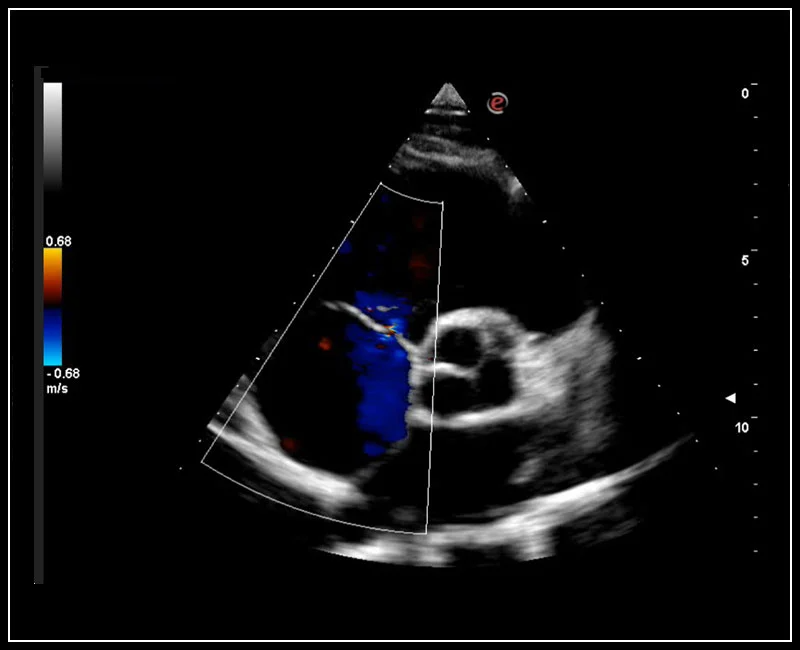
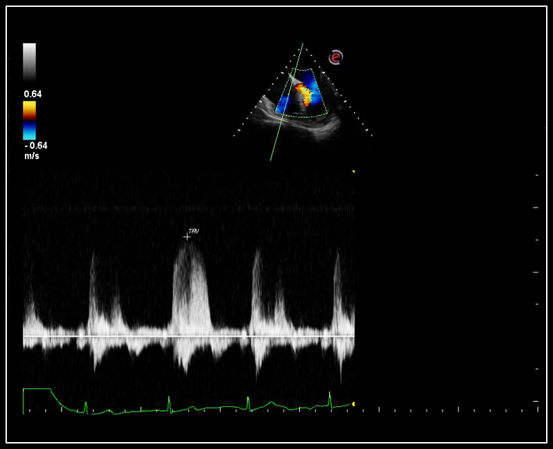
B-mode/M-Mode/CFM/PW/CW Doppler/Power Doppler
HyperDoppler - napredni alat u ehokardiografiji koji koristi tehnologiju boje Doppler protoka za detaljnije proučavanje intrakardijskih tokova, pružajući bolje razumevanje stanja srca i identifikaciju razlika između normalnih i patoloških protoka
XStrain LV (sa AI ) , XStrain RV, XStrain LA i XStrain 4D
Paket za stres-ehokardiografiju
AutoCM licenca za automatska kardiološka merenja
e-Doppler - automatsko pozicioniranje i upravljanje kolorom uz pomoć A.I.
QAS (Tačna procena zdravstvenog stanja arterijskih sudova)
QIMT Merenje Intima Media u realnom vremenu
TEI, Tissue Enhancement Imaging
CPI, Combined Pulse Imaging za poboljšanje kvaliteta slike.
Xview and Xview+, inovativni i prilagodljivi algoritam u realnom vremenu
XFlow za povećanje osetljivosti i rezolucije sa snimanjem krvotoka
microV visoka rezolucija i osetljivost za mikrovaskularizaciju
TpView, Trapezoidni prikaz slike
VPan, Panoramski prikaz slike
MView, višeugaoni prikaz slike sa ciljem postizanja superiorne rezolucije
Triplex mod u realnom vremenu režim dostupan na svim sondama

Instalacija Aparata

Tehnička Podrška

Garancija Kvaliteta

Obuka za Rad
VIDEO
Istražite tehnološki potencijal naših aparata
KLINIČKE SLIKE












SONDE
BROŠURA


























